深圳爱康健口腔医院新年补牙价钱:常规树脂补牙首颗半价.支持使用香港长者医疗券!蛀牙并非传统意义上的传染病,但导致蛀牙的变形链球菌确实具有传播性.这些细菌可以通过共用餐具...
一颗小小的蛀牙不仅影响咀嚼,还可能成为口腔健康的潜在威胁,让许多深圳和香港居民在治疗费用和效果之间犹豫不决。
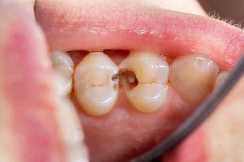
“医生,我这颗牙补好后,旁边的牙会不会也跟着蛀?”在深圳爱康健口腔医院的诊室里,这是许多患者常问的问题。事实上,蛀牙本身不会像感冒那样直接“传染”,但导致蛀牙的细菌却可以在口腔内扩散。
这种细菌传播的风险,加上深圳补牙价格从几百元到上千元不等的差异,让不少人在治疗选择上感到困惑。

01 蛀牙的本质与传播
蛀牙并非传统意义上的传染病,但导致蛀牙的变形链球菌确实具有传播性。这些细菌可以通过共用餐具、亲吻等日常接触在人与人之间传播。
在一个家庭内部,如果父母有活跃的蛀牙,孩子患上蛀牙的风险也会相应增加。
细菌在口腔内自由迁移,当一颗牙齿出现蛀洞,这些细菌会利用食物残渣作为营养源,逐渐侵蚀邻近牙齿。
这一过程解释了为什么患者常常发现,一颗牙齿出现问题后,周围牙齿也可能陆续受到影响。

02 深圳补牙费用全景
在深圳,补牙费用并非统一标准,而是根据多个因素形成阶梯式价格体系。公立医院与私立诊所的收费差异明显。
在公立医院体系中,基础树脂补牙的价格通常在数百元左右/颗。而私立口腔机构的补牙价格范围则更广。
以深圳爱康健口腔医院为例,根据使用的材料和技术不同,补牙价格从300元/颗起步。该机构提供从常规树脂充填到美学分层树脂修复的多种选择,满足不同患者的需求。以下为爱康健补牙收费价目表参考:
·常规树脂充填 300元起/颗
·玻璃离子充填 300元起/颗
·声波树脂充填 550元起/颗
·超强纳米树脂充填 800元起/颗
·美学分层树脂修复 1500元起/颗
值得注意的是,2026年2月28日前,预约到爱康健补牙可享常规树脂补牙首颗半价,第二颗起7.5折的活动。
03 补牙材料的选择指南
面对多样的补牙材料,患者需要根据自己的具体情况做出合适选择。不同材料的特性决定了它们的适用场景和价格差异。
后牙承受较大咀嚼力,耐磨性是主要考量因素。纳米树脂或声波树脂材料因其高强度特性,成为后牙修复的合适选择。
对于前牙修复,美观度则成为主要考虑。美学分层树脂修复能更好地模拟天然牙的色泽和透光性,达到更自然的视觉效果。
儿童患者或老年人非主要受力区的修复,可以考虑玻璃离子材料。这种材料在固化过程中能持续释放氟离子,有助于预防继发龋齿,同时对牙髓的刺激性较小。

04 爱康健口腔医院的差异化优势
在深圳众多口腔医疗机构中,爱康健口腔医院形成了自身的独特优势。其品牌爱康健拥有30年历史,在深圳设有十三家连锁医院及门诊。
作为粤港澳大湾区“长者医疗券大湾区试点计划”的指定牙科机构之一,爱康健口腔医院自2024年8月起已开始为合资格的香港长者提供牙科服务。这一跨境医疗政策的实施,让经常往返深港两地的长者可以更方便地在深圳获得专业的牙科服务,同时享受香港政府的医疗补贴。
在价格透明度方面,爱康健实行明码标价制度,提供治疗前费用确认单,让患者在治疗开始前清楚了解全部费用。
05 专业建议与预防措施
预防胜于治疗,这句话在口腔健康领域尤为贴切。定期口腔检查是预防蛀牙扩散的关键措施之一。每年至少一次口腔检查。早期发现蛀牙问题,可以避免后续更复杂、更昂贵的治疗。
养成良好的口腔卫生习惯同样重要:包括早晚刷牙、饭后漱口、睡前不吃零食等。正确的刷牙方法也至关重要——应采用竖刷法,使得各牙面和缝隙均得到清洁。
对于儿童群体,窝沟封闭是一项有效的防蛀措施。这项技术特别适用于牙齿表面的深窝沟,能降低蛀牙发生率。
深圳爱康健口腔医院位于罗湖火车站附近,从罗湖口岸步行仅需几分钟。医院实行“一医一患一诊室”制度,保障就诊的私密性,同时提供广东话服务,消除了香港长者的语言障碍。
合资格的香港长者在就诊时只需出示有效香港身份证进行身份认证,治疗结束后即可在收费专窗使用医疗券支付。
无论是预防蛀牙的出现,还是及时治疗已经形成的蛀牙,选择合适的医疗机构和专业的口腔医生,都将在你通往健康笑容的道路上,起到关键的作用。
————————————————
爱康健口腔医院官方预约挂号方式:
①官方大陆咨询预约热线:0755-61302632
②官方香港咨询预约热线:00852-62157070
③爱康健官方WhatsApp:+8614775988935
④微信小程序预约:搜索“爱康健齿科”或扫描下方二维码
