深圳爱康健口腔医院长者医疗券洗牙价格:超声波保健洗牙58元/次,无盐喷砂洗牙168元/次.唾液中矿物质含量较高的人,牙菌斑矿化速度往往更快.同时,唾液分泌不足(如干燥综合征患者,老年...
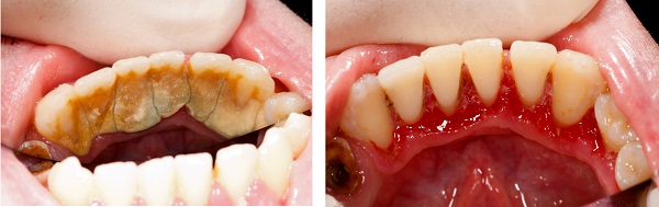
牙结石是口腔中常见的硬质沉积物,由牙菌斑矿化而成。牙结石长的快是为什幺?许多人发现自己的牙结石生长速度较快,这背后涉及多种因素。下面深圳爱康健口腔医院小编为大家详细介绍。

一、清洁不完整:牙菌斑的“安乐窝”
1. 刷牙方式与时间不足
许多人刷牙时间不足2-3分钟,或采用错误的横向刷牙方式,导致牙齿表面、牙龈沟等区域清洁不完整。牙菌斑在这些区域堆积后,可在48小时内开始矿化过程,逐渐形成牙结石。
2. 辅助清洁工具使用不足
牙缝和牙龈边缘是牙结石形成的高发区域。仅靠刷牙难以完全清洁这些部位,而不使用牙线、冲牙器等工具,会使食物残渣长期滞留,加快牙菌斑矿化。
二、饮食习惯:牙结石的“催化剂”
1. 高糖与高碳水化合物饮食
频繁摄入糖果、奶茶、面包等高糖食物,会为口腔细菌提供丰富的营养。这些细菌代谢产生的酸性物质不仅加快牙釉质脱矿,还促进牙菌斑向牙结石转化。
2. 矿物质含量高的食物与饮品
碳酸饮料、乳制品等含有较多钙、磷等矿物质。适量摄入这些物质对健康有益,但若未及时清洁口腔,它们可能沉积在牙菌斑中,加快其硬化过程。

三、个体差异:不可忽视的生理因素
1. 唾液成分与分泌量
唾液中矿物质含量较高的人,牙菌斑矿化速度往往更快。同时,唾液分泌不足(如干燥综合征患者、老年人或服用某些药物者)会降低口腔自洁能力,为牙结石形成创造条件。
2. 遗传因素
个体牙釉质结构、口腔微生物组成及代谢能力存在遗传差异,这使得部分人群天生更容易形成牙结石。
四、生活习惯与健康状况的影响
1. 吸烟与口唿吸
烟草中的化学成分会改变口腔环境,促进牙菌斑附着。长期口唿吸则会导致口腔干燥,减少唾液对牙齿的清洁作用。
2. 夜间磨牙与牙齿磨损
磨牙习惯会导致牙齿表面微小破损,使牙菌斑更易附着。同时,牙齿磨损可能改变咬合关系,增加清洁难度。
3. 系统性疾病
糖尿病等慢性疾病若控制不佳,可能影响口腔微环境,增加细菌活跃度,从而加快牙结石形成。
在深圳,洗牙费用因服务类型和机构不同而有所差异:
常规洁牙(龈上洁治):在公立医院或正规口腔机构,费用通常在数百元之间。部分诊所在促销期间可能提供更具竞争力的价格。
深度洁牙(龈下刮治):对于牙结石已延伸至牙龈下方或伴有牙周炎的情况,需要进行深度清洁。这类治疗费用通常在数百元到上千元或更高,具体取决于病情复杂程度和治疗方案。

深圳爱康健口腔医院是深圳较早的二级口腔专科医院,拥有独层住院病区及数十台专业牙椅,硕博口腔医师团队领衔,已于2024年2月被纳入了香港长者医疗券试点计划,同年8月已全面启用香港长者医疗券。为了让长者尽快解决牙齿问题,爱康健口腔医院面向内地及香港年满65岁及以上的长者推出超声波保健洗牙58元/次,无盐喷砂洗牙168元/次,还有牙周治疗9折,全科治疗9折等多个长者睇牙活动。>>>>>点击了解香港长者医疗券活动详情
六、预防牙结石的科学策略
·完善日常清洁:每次刷牙2-3分钟,使用正确的巴氏刷牙法,并配合使用牙线或冲牙器清洁牙缝。
·调整饮食习惯:减少高糖食物摄入频率,进食后及时漱口,避免碳酸饮料长时间接触牙齿。
·定期专业维护:建议每6-12个月进行一次专业洁牙,及时清除已形成的牙结石,预防牙周疾病。
·关注全身健康:控制慢性疾病,戒除吸烟等不良习惯,保持充足水分摄入以促进唾液分泌。
若已出现明显牙结石堆积、牙龈出血或牙齿松动等症状,建议及时就诊,接受专业评估和治疗。通过科学的日常护理和定期的专业维护,可以控制牙结石形成,维护口腔长期健康。
爱康健官方预约挂号方式:
①官方大陆咨询预约热线:0755-61302632
②官方香港咨询预约热线:00852-62157070
③【官方WhatsApp预约入口】
上一篇:牙齿发黄怎么办?洗牙有用吗?深圳洗牙多少钱一次?爱康健口腔医院喷砂洗牙(含盐)158元/次!
下一篇:没有了